Welcome to Phoenixville Dental
Dentistry here feels different—more personal, more advanced, and far less stressful. Led by Dr. Troy Oracko, a trusted dentist in Phoenixville, our caring team combines expert care with modern technology to keep you comfortable, confident, and fully supported at every visit.












Meet Dr. Troy Oracko & The Phoenixville Dental Team!
Dr. Troy is known for his approachable style, advanced clinical skills, and passion for both general and cosmetic dentistry. With over 100 hours of continuing education, he combines modern techniques with a strong focus on comfort, aesthetics, and long-term oral health—helping patients feel confident in their smiles and relaxed during every visit.
FEATURED SERVICES
Smile With Confidence
From routine dental cleanings to advanced solutions like implants and Invisalign, our care covers every stage of your smile. We combine comfort, innovation, and experience to help you look, feel, and live better—one visit at a time.
Family and General Dentistry
Check-Ups & Cleanings
Dental Fillings
We use strong, natural-looking materials to repair cavities and restore strength to your teeth. The result is a durable, discreet filling that blends beautifully and helps prevent future issues.
Pediatric Dentistry
Our youngest patients deserve a calm, positive dental experience. We provide age-appropriate care in a fun and welcoming environment, helping kids build lifelong healthy habits and feel comfortable during every visit.
Sedation Dentistry
Periodontics
Healthy gums are essential to a healthy smile. We diagnose and treat gum disease with targeted therapies that reduce inflammation, stop infection, and protect the support structure of your teeth.
Root Canal Therapy
When a tooth becomes infected or deeply decayed, a root canal can relieve pain and save the tooth. Our gentle approach and advanced tools make the process smooth and efficient—often completed in just one appointment.
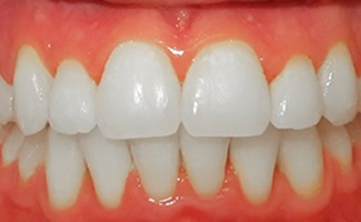
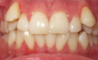
Begin Your Smile Transformation!
From subtle enhancements to full smile makeovers, Phoenixville Dental blends artistry and advanced care to bring out your best look. With cutting-edge technology and a team who truly gets you, the transformation you’ve been waiting for is within reach.
Emergency Dental Services
SAME-DAY CARE WHEN YOU NEED IT MOST
Dental emergencies don’t wait—and neither do we. If you’re dealing with a cracked tooth, sudden pain, a knocked-out tooth, or signs of infection, our team is here to help fast. We offer same-day appointments for urgent dental needs, providing relief, expert care, and a clear plan to restore your health and comfort. Don’t wait it out—call us and get the help you need today.